ADVERTISEMENT

X-Ray Reveals Hundreds of Gold Needles in Woman’s Knees

ADVERTISEMENT
ADVERTISEMENT

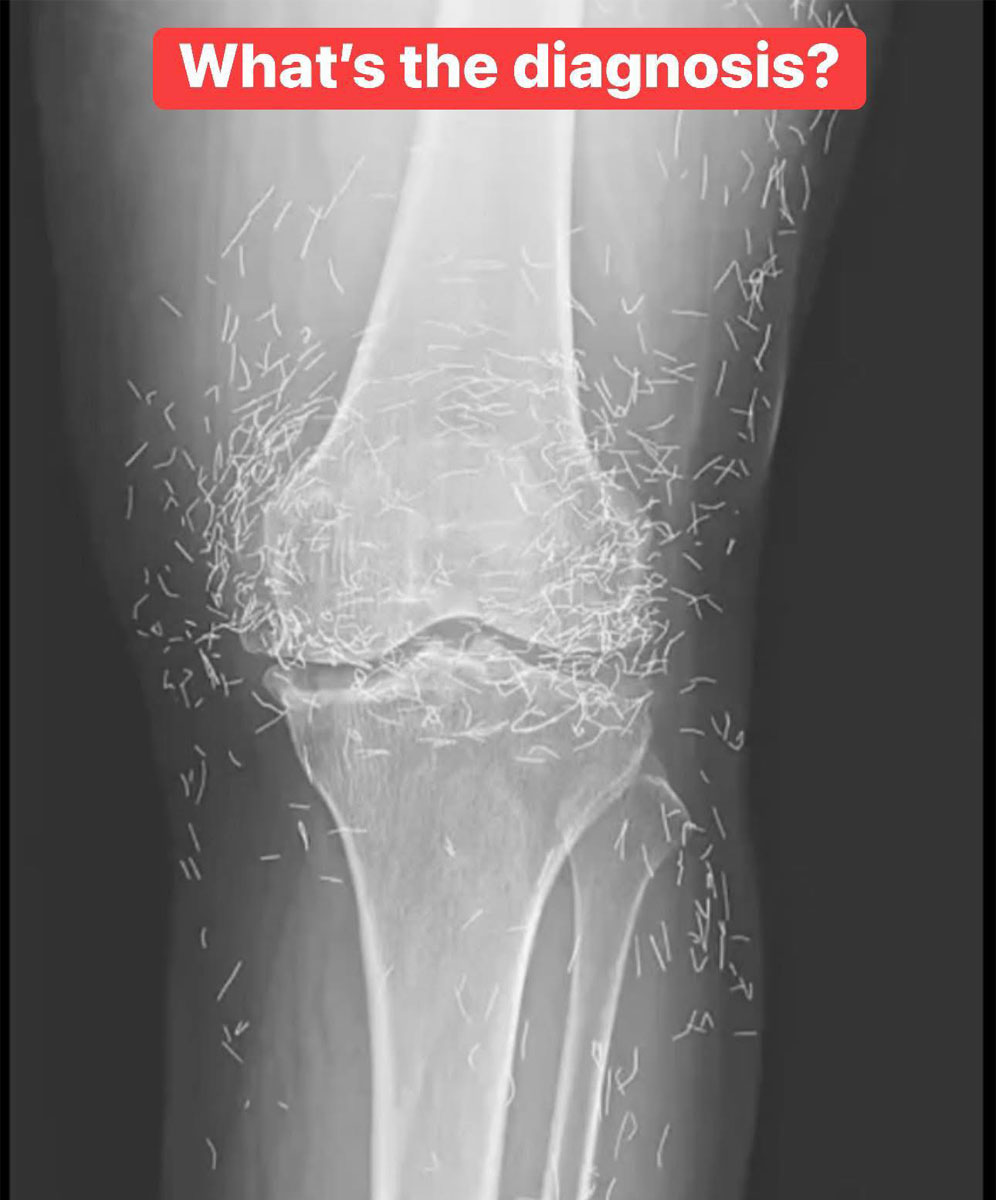
As doctors examined an X-ray image of the knees of an old woman experiencing severe joint pain, they found a gold mine: hundreds of tiny gold acupuncture needles left in her tissue.

The 65-year-old woman from South Korea had previously been diagnosed with osteoarthritis, a condition in which the cartilage and bones within the joints degrade, causing pain and stiffness. However, when pain relievers and anti-inflammatory drugs didn’t alleviate the pain in her knees and only caused stomach discomfort, she had turned to acupuncture, the doctors wrote last week in the New England Journal of Medicine.

Acupuncture is an alternative medical practice that uses needles in order to purportedly stimulate certain points on the body, to alleviate pain or to treat a variety of diseases.

ADVERTISEMENT
ADVERTISEMENT